









Get your teeth their whitest shade possible with Bilistic Teeth Cleaning/Bleaching Systems. When combined with Bilistic Infusion Trays our Bilistic Detox Serum is more effective at removing biofilm than brushing alone.
Brighter Image Lab Presents the:
Far too many people are not getting their teeth professionally cleaned – the statistics are staggering. If you’re one of the millions of people who have skipped a few dentists visits you’re definitely not alone, and the research says it’s probably not your fault. As treatment costs rise and dental coverage rates plummet, the average person is left with options that are unattractive at best, and discriminatory at worst.
“We believe that treatments like teeth bleaching aren’t just a luxury reserved only for the rich, and that monthly teeth polishing is undervalued as a preventative measure. I Believe that Dentists stand to profit too much by protecting the status quo and that’s why any real solution would have to come from outside the dental industry. When creating this system, we had to address every part of what is wrong with dental care, and fix it; access, cost, time, information, and effectiveness. We essentially had to challenge every dentist is the country for not coming to market with a comprehensive solution, before now.”
– Bil Watson, Director
What started as a simple desire to help people more effectively brighten their smile, quickly turned into a ballistic crusade when we realized just how bad the oral-health crisis had become. Since that point, we’ve worked tirelessly to create a new system that challenges the ‘Dentist or Nothing’ mind set and empowers the average person to clean, bleach, and polish their own teeth at home. For the first time, allowing you to take control of your own dental care. Our complete Bilistic Smile-Care System™ does exactly, that.
Soft material with too much flex introduces saliva to the treatment process, which compromises the contents and lessens their effectiveness significantly. The industry has known about this problem for as long as they’ve been making these trays, but no one has ever tried to solve it. We solved it.
The new, black, Infusion treatment tray, is the first of its kind and it’s the epitome of effective and efficient. With a closer more precise fit than any bleaching tray before it, our Infusion tray allows any treatment material to soak into the tooth without being compromised by the natural enzymes in your saliva; penetrating the surface and accessing the tubular pores of the tooth.
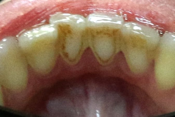
Why do we include a Detox Cleaning Serum with our teeth bleaching? Because, as any dentist will tell you, cleaning is integral to acheiving dramatic whitening results. You can’t bleach, what you can’t touch, and a large portion of people who are trying to bleach their teeth, are wasting their money by bleaching invisible layers of bio-film, plaque, tartar and calculus rather than their actual teeth. Our Detoxing Serum helps dissolve these barriers and provide direct, un-compromised access to the surface area of the tooth – making it possible to achieve a “full-curing’ for the brightest teeth you’ve ever had.
Every Ingredient in our Detox Serum was sourced for for its effectiveness. These include: 1) A concentrated tartar softener which is specially formulated to remove the toughest calculus buildup. 2) A re-mineralizing agent, that helps strenthen the tooth and enamal against damage. 3) A first of its kind desensitizer that coats, rather than clogs, the pores of your teeth to reduce sensitivity, while allowing teeth to cure. All of this ensures that you’re getting the most effective Smile Care System money can buy. Until now, the cost of going to the dentist meant that most people had to choose between cleaning and whitening, but with our Bilistic Detox Serum’s proprietary blend of ingredients, we offer proven way to clean and brighten your teeth – for a fraction of the cost, and without the dentist.
Traditionally, dentists and hygienists invest in professional quality (expensive) tools for removing tartar and hardened calculus from teeth. However, with our Tartar Softening Detox Serum, you won’t need specialized scalers to start loosening and removing buildup. In fact, just about any $5 set of dental tools will likely do the job, but at Brighter Image Lab, we only give you the best, and our teeth cleaning kit is no exception. We’ve leveraged our dental industry connections to find the highest quality tools at a fair price, so you know you’re getting the best there is (without breaking the bank).
There’s bleaching gel, and then there’s next generation, unblended Pure Bleach™. Everyone in the world wants to sell you on the idea that their gel is the strongest and most concentrated. But as with most things, the devil’s in the details. We know from our 20 years of experience that the concentration of ingredients isn’t half as important as how your bleaching gel is handled. If your bleach makes contact with certain materials at any point, it’s strength is compromised. If your gel exceeds a specific temperature during transport, it’s compromised. If it’s ever mixed with another batch of gel, it’s compromised. We’re not saying that compromised gel doesn’t maintain some of its effectiveness, because we know people have been getting results with it for years. What we ARE saying, is that most people aren’t getting the consistently impressive results that they’re paying for, and we think you deserve better.
Of everything we put into our Bilistic Cleaning System, our Bilistic Polisher has to be the piece we’re the most proud of. Because a smooth surface collects less bacteria and accumulates less plaque, Micro Surface Polishing is one of the most underrated treatments for preventative oral care. Bringing this tool out of the dentist office and into the hands of everyday people, creates an unprecedented shift in personal dental hygiene. When you see how the light reflects off your perfectly polished smile, you’ll demand an explanation as to why this wasn’t made available years ago.
Hi, I’m Bil, a smile designer and an average everyday worker. Since 1997 I’ve been improving people’s smiles. I created my Lab Direct Process to give people a choice!
A nice smile should not cost $20,000. My work to design technology and create innovation has been life changing for a lot of people all over the world. I believe PressOn Veneers and BilVeneers are the Future of Smile Design because they have helped thousands of people get a new smile without going to the dentist.
Now it’s your turn! Learn more about how we are disrupting the dental industry in America.
If you are an existing client and need to upload photos to your account, click this button.
Select the station you heard us on below to enter to win a FREE Smile Makeover!




Select the station you heard us on below to enter to win a FREE Smile Makeover!
Brighter Image Lab provides life-changing smile makeovers to thousands of clients every year.
We also partner with a non-profit named New Life Smile who matches people like you, with public and private funding sources to hopefully cover a portion (if not ALL) of your smile makeover costs. We’re ready to help right now!
We’ve already given away free smiles to people in your area and we’re ready to do a lot more!