I care about people who need a new smile. It’s why I do what I do. And it’s why I can’t sit back and watch dentists price gouge people on a product they don’t even make.
The #1 Snap-On Smile Dentist in the world – has never made a snap-on smile!
But it’s not just her. In 20 years I’ve never met a dentist that’s made one but, I’ve made over 100,000. Dentists may understand the concept or the “theory” behind snap-on smiles, but they’ll never understand it like I do.
If Dentists don’t design the Snap-On Smiles and Dentists don’t make the Snap-On Smiles, then what is it you’re paying for?
It’s true that many snap-on smile dentists will either take, or participate in making your dental impressions, but are simple dental impressions really worth paying a 200-300% markup on your veneers? Our specialized impression system makes taking your own impressions easy.
The fact is, you CAN take your own impressions and you DON’T need the dentist to improve your smile.














































































































































See Proof – 100s of Real Clients who did just what you’re doing now. Went online, did their research, and chose BIL Veneers to cover bad teeth – Lab Direct, No Pain, No Dentist
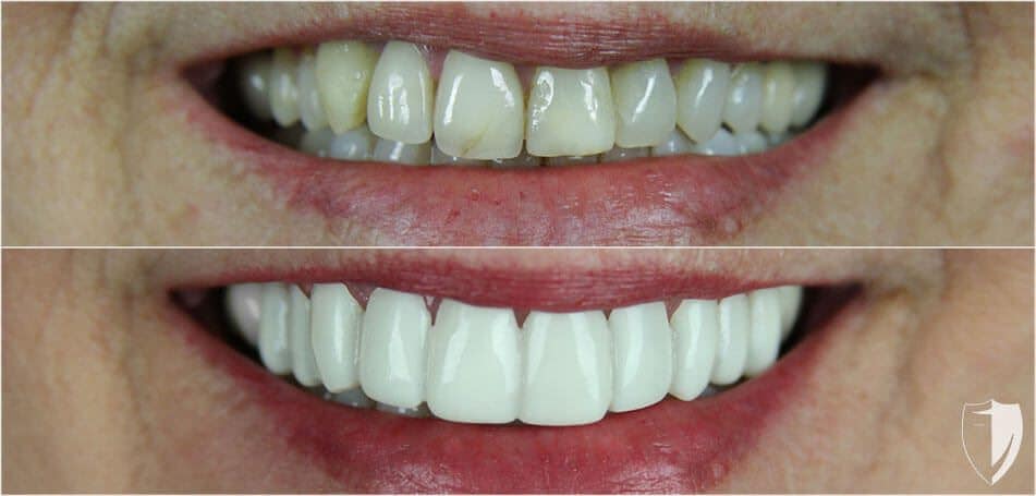
Dentists call them “Snap-On Smiles” – We call our work “Veneers”. Our goal is to design to be comparable to a traditional veneer.




Our quality really is that good. Thin, Detailed, Sealed at the GumLine. Bottom line – With Brighter Image Lab, you’re getting the same or better quality product, for a LOT less. Period.
If you’re serious about Changing your smile, and you’re still considering your options, Consider this:
I’m so confident I can get you a better deal, that I’ll beat any Snap-On Smile Dentist’s offer by 50% – that’s it.
You send me your written estimate for a snap-on smile and I’ll do it for half.
Get a Preapproval Letter Instantly
Hi, I’m Bil, a smile designer and an average everyday worker. Since 1997 I’ve been improving people’s smiles. I created my Lab Direct Process to give people a choice!
A nice smile should not cost $20,000. My work to design technology and create innovation has been life changing for a lot of people all over the world. I believe PressOn Veneers and BilVeneers are the Future of Smile Design because they have helped thousands of people get a new smile without going to the dentist.
Now it’s your turn!
I can get you a new smile with $24 payments. Any credit score - I’ll find a way to get it done. Chat with me to find out how!
Click to chat with Katy M. now >>




From beginning to end there isn’t a single step in our Lab Direct Process that hasn’t been researched, tested and scrutinized. These uncompromising standards are what make Brighter Image Lab™ the industry leader in Smile Innovation.
Brighter Image Lab™ is one of the most technologically advanced design labs in the world, and it’s the reason we can create smiles in a way that other labs can only dream of.
No two clients are the same but they all have one thing in common. Their dentist can’t provide them with an affordable choice to improve their smile.
PressOn Veneers is an affordable option that can improve your smile, help you look years younger, and increase your confidence – all without a dentist. A new smile is a choice that opens up another world of better choices.
The Lab Direct™ process allows us to serve clients all around the world from a single location. Through a unique combination of Innovation, Design and Technology, we’re the first to offer affordable smile design worldwide, and we’ve done it online with discounted pricing.
If you’ve considered traditional dental veneers in the past, you know they’re a major procedure that’s expensive and absolutely non-reversible.
Our clients achieve amazing results at a fraction of the cost with no painful procedures. Don’t be fooled, when offered an affordable, reversible alternative, our clients have a much easier decision.
You determine the fit, because you control the impressions. My best advice is to take the impression seriously.
Click to chat with Heather W. now >>
Some of the most beautiful women in the world are wearing our PressOn Veneers to help them smile. Why let your smile be an embarrassment when it could be your greatest asset? Clients like Sara put faith in us to deliver their smiles worldwide. Scotland, London, Sydney, Toronto or Mexico City and many more.
For many men, the idea of a “Smile Makeover” isn’t something they’d normally consider. But our PressOn Veneers helps them to realize an opportunity to get back something they’ve lost, or in some cases, become the person they always thought they’d be.
It’s just one more tool to help them navigate the unique pressures they contend with day-to-day. Designing a smile for a man presents a different set of challenges and we believe our results show it’s not only something we do, but something we consistently do very well.
Have a special event? We never guarantee delivery timelines, so I advise my clients to order extra early, or not at all.
Click to submit your smile photos now >>
It’s this simple: we have one size – It’s the correct size made from your impressions. As our client, you start your job by supplying us a great impression of your teeth! Exact impressions of your teeth make a great fitting dental veneer EVERYTIME!
Our clients start every job, we simply finish it by designing your dental veneer from your impression. Our Process is unique because our clients start creating their veneers themselves. They take the initial impression of their existing teeth. This allows us to have the exact teeth size and statue which fits accurately. The Brighter Image Lab® foundation was established on finishing the design process from the impression we receive.
Life’s too beautiful to have a smile that does not fit your face. A correctly fitted dental veneer alleviates years of embarrassment, allowing you to transform your whole self image by yourself.
Our technology allows us to make dental veneers that are extremely thin. Even though this layer is very small, it is important to understand that the veneers will always feel:
1. Thicker – than your teeth
2. Longer – than your teeth
3. Wider – than your teeth
4. Adhesive – may be required
5. Remakes and/or Adjustments may be necessary.
In the past, these aspects were viewed as a negative, but more and more people are praising the increased dimensions as a positive, because of the improvements to the overall look of the face and smile. Elongating the smile makes it more prominent which can give the appearance of youthful energy and decrease that undesirable ‘tired‘ look. Widening the smile, helps the face look smoother and more even. These changes are all on a very small scale, but you can see from our photos that the results are incredible!
1. Didn’t need veneers/Teeth already look good.
2. Didn’t expect veneers to feel how they feel.
3. Didn’t expect to add bulk to smile or look larger.
4. Didn’t understand importance of a good impression.
5. Didn’t Understand that custom work is non-refundable.
6. Ordered expecting delivery for a specific event.
7. Didn’t understand that production timelines are estimates.
8. Didn’t send the required photos / sent too late.
9. Didn’t allow time for acclimation / adjustment
10. Expected too much from the veneers.
Psychologically, Press On Veneers can change the way you view yourself and the way others view you. It will take up to two weeks or more for your mouth to become accustomed to wearing Press On Veneers. It may take you longer to become accustomed to seeing yourself wearing the veneers. Friends, family, and loved ones may not support your new smile.
All of these issues may be resolved with time and frequency. As with all things, your body will grow used to wearing and seeing yourself with the veneers the longer you wear them. That’s the time to show your friends, family, and loved ones your new smile.
Our unique process requires a lot of interaction with the client in order to achieve a perfect custom fitted veneer, so we make sure to provide an amazing support team to help you along the way.
Our Account Representatives ensure you make the most informed decision about custom designed removable veneers. If you still have questions about the Lab Direct Process or what Press On Veneers can do for your smile, we ask that you send us your photos and call or chat with one of our Smile Specialists now!
We’re here to help you make your impressions, track your order, and most importantly, help you adjust to wearing your new smile. Ready to make the change you should have made years ago? Start your order now.
For a limited time
get special offers and discounts sent to you. Give us your name, phone and email.
If you are an existing client and need to upload photos to your account, click this button.
Bil wants to send you more behind the scenes
footage of clients receiving their veneers for the first time.
Let us send it to your inbox now!
We give away over 100 free smiles every year.
To enter, join our email list. It’s the best way to keep up with Brighter Image Lab
Select the station you heard us on below to enter to win a FREE Smile Makeover!




Select the station you heard us on below to enter to win a FREE Smile Makeover!
Brighter Image Lab provides life-changing smile makeovers to thousands of clients every year.
We also partner with a non-profit named New Life Smile who matches people like you, with public and private funding sources to hopefully cover a portion (if not ALL) of your smile makeover costs. We’re ready to help right now!
We’ve already given away free smiles to people in your area and we’re ready to do a lot more!