There is a large amount of information about fluorosis treatment and prevention on the internet, but how do you know which advice to follow?
One of the more common causes of teeth staining is fluorosis. For years dentists have touted the benefits of fluoride. They have campaigned for its inclusion in many dental products like toothpaste and mouthwash. They even had many governments include it in the public drinking water.
This overexposure to fluoride caused stains that were hard to remove, even with high concentrations of teeth whitening products. That’s why Brighter Image Lab created Bilistic Teeth Cleaning System; it was specifically designed to remove tough stains!
What is Dental Fluorosis?
Dental fluorosis is an irreversible condition that can be caused by overexposure to fluoride. Fluoride is added to toothpaste and mouthwash in order to protect teeth from decay, but when too much of it builds up on the surface or within the tooth enamel, fluorosis will occur.

Symptoms of Dental Fluorosis
Symptoms of fluorosis include:
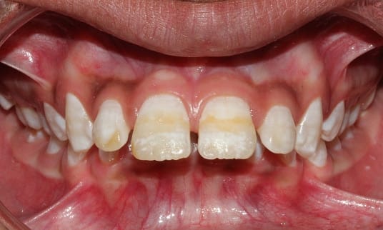
– Tooth discoloration – white spots on your teeth that are often difficult to remove with high concentrated teeth whitening products.
– Tooth Sensitivity – The fluorotic tooth may feel sensitive, especially when eating or drinking cold or hot foods and beverages
– Dangerous Teeth Structure – Dental fluorosis can result in weakening of the enamel and changes in dental tissues, which may lead to tooth decay, tooth loss and other dental problems.
Dental Fluorosis Treatment and Prevention
Prevention of Dental Fluorosis
There are many ways to prevent fluorosis. One way is by avoiding contaminated tap water. Electing to drink bottled water or distilled water can be a great alternative.
You can also avoid fluoridated mouthwash, fluoridated toothpaste, fluoridated dental products, fluoridated beverages like sodas and fluoridated milk products.
Reduce your risk of fluorosis by scaling back on the amount of fluoride you get from other dental products like rinses, gels, varnishes and sealants. You should only use them once or twice a year for prevention, not every day.
Treatments for Dental Fluorosis
One way fluorosis is treated is through the use of fluorism braces. The fluorism braces work by releasing fluoride directly onto the teeth and gums without any contact with the fluorosis. This prevents fluorosis from occurring.
Fluorism braces do not fix fluorosis but they prevent it from occurring in new areas of the mouth that have yet to become fluorotic.
A dentist may also elect to try teeth whitening using hydrogen peroxide. The maximum allowed for their use is 40%, but many choose to keep it in the at-home range of 10%. This usually is not enough to remove stains caused by fluorosis.
Depending on the severity, the dental fluorosis treatment cost will vary.
Fluorosis Treatment and Prevention in Children
You can use a non-fluoridated toothpaste to clean your child’s teeth at home and let their dentist office use fluoridated products to clean them regularly to reduce his/her exposure to fluoride.
An At-Home Dental Fluorosis Treatment
Historically, at-home dental fluorosis treatments have been ineffective at removing stains from teeth. This is because hydrogen peroxide based at-home whitening kits are capped at the safe 10% level, which is not effective at removing dental fluorosis stains.
The risks associated with going to a dentist who uses 40% peroxide are unacceptable to some people. While the dentist may be properly trained, some fear that the task will be left to an untrained hygienist.
The Bilistic Teeth Cleaning System from Brighter Image Lab is the solution! From home, we can provide you with custom fitted Bilistic Trays, designed to hold our Bilistic Whitening Gel close to the tooth for the maximum benefit.
Many of the stains sit below the surface of the tooth, however. We have found it necessary to create the Bilistic Detox Serum which detoxifies the tooth, removing biofilm and tartar which clogs the pores of the tooth.
This allows the Bilistic Whitening Gel to penetrate the tooth and remove those deep stains.
We also have the Bilistic Tooth Polisher available which gives you another dentist quality tool to polish your teeth in the comfort of your own home.
You don’t have to live with dental fluorosis anymore! Call or chat with one of our smile specialists and learn tips on fluorosis treatment and prevention at home!
Press On Veneers
- 4 Syringes of Bilistic Detox Serum
- 4 Syringes of Pure Bleaching Gel
- Upgraded Arch Cut Infusion Trays
- Set of Dental Teeth Cleaning Tools
- Bilistic Pro Series Polisher
Deluxe System
- 8 Syringes of Bilistic Detox Serum
- 8 Syringes of Pure Bleaching Gel
- Upgraded Arch Cut Infusion Trays
- Set of Dental Teeth Cleaning Tools
- Bilistic Pro Series Polisher
-
4 Syringes of Bilistic Detox Serum
-
4 Syringes of Pure Bleaching Gel
-
Upgraded Arch Cut Infusion Trays
-
Set of Dental Teeth Cleaning Tools
-
Bilistic Pro Series Polisher
IncrediBil Veneers
- 16 Syringes of Bilistic Detox Serum
- 16 Syringes of Pure Bleaching Gel
- Upgraded Arch Cut Infusion Trays
- Set of Dental Teeth Cleaning Tools
- Bilistic Pro Series Polisher



