Introduction
The COVID-19 crisis has made it more difficult than ever to see a dental professional. People everywhere are struggling to preserve their smiles while dental offices close across the country. In the midst of social distancing and lockdowns, people need to know how to remove tartar from teeth without a dentist.
In this article, we will discuss tartar, its harmful side effects and how to remove it from your teeth at-home, without a dentist.
What is Tartar?
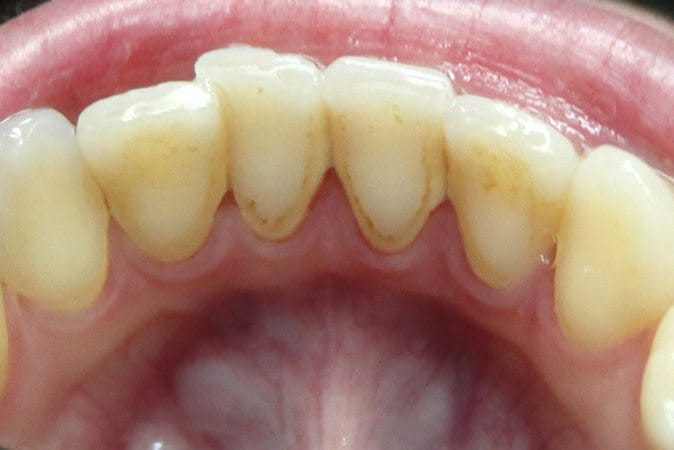
Tartar, also called dental calculus, is a yellow or brown colored deposit that forms when plaque hardens on your teeth and contributes to their decay.
How Tartar is Formed
Even if you care for your teeth, bacteria still thrive inside your mouth. They combine with proteins and food byproducts to form plaque, a sticky film that coats the surface of your teeth and creeps under your gum line.

Plaque is riddled with harmful bacteria that damage tooth enamel and cause cavities. If you don’t remove the plaque from your teeth, it hardens into tartar. Tartar consists mostly of mineralized dead bacteria and proteins.
It is important to know how to remove tartar from teeth without a dentist because removing it regularly can prevent permanent damage.
Not only does tartar damage the teeth and gums, it also poses a cosmetic problem. Because tartar is more porous, it absorbs stains easily. If you drink coffee or tea, or if you smoke, it is especially important to know how to remove tartar from your teeth without going to a dentist, and how to prevent it from forming again.
Knowing how to maintain your smile from home means you won’t have to deal with consequences of tartar buildup, such as bad breath. Keep reading to learn more!
Can Tartar Cause Bad Breath?
Any way you spin it, tartar causes bad breath. It is riddled with bacteria, and if left untreated, will wreak havoc on your teeth and gums.
If you don’t brush or floss your teeth regularly, the food particles in your mouth will rot and cause bad odors. Poor dental care can lead plaque buildup, which causes an odor of its own. When plaque hardens, it turns into tartar.
Tartar is full of harmful bacteria, and if it isn’t removed, will begin to irritate the gums and cause gingivitis. Half of adults in the U.S. suffer from gingivitis, and according to a New Jersey based periodontist, “Bad breath is a common complaint in one-third of the population.”

With so many suffering the side-effects of tartar buildup, it’s more important than ever for people to clean tartar from their teeth.
Read on to learn how tartar is removed by a dentist!
How Dentists Remove Tartar
Traditionally, dentists and hygienists invest in expensive tools for removing tartar and hardened calculus from teeth. They charge hundreds of dollars for a routine cleaning to remove build up and even more to repair the damage it can cause.
Removing tartar from teeth can be a hassle, and in today’s climate, seeing a dentist can be very difficult. If you are able to go to a dentist to have the tartar removed from your teeth, a dental hygienist will likely conduct a dental cleaning.
During the dental cleaning, the hygienist will check your teeth and the gums for tartar buildup and remove it with a dental instrument known as a scaler. A scaler is a device that has a hook on the end of it, and it is used to remove tartar above and below the gum line.

A dental cleaning will remove the tartar from your teeth, but it will also remove a stack of money from your wallet. As a recent survey showed, the average cost of a new patient cleaning in the U.S. is $270. Some dental offices charge as much as $500 for a new patient cleaning, and it can be hard to determine what you will pay beforehand.
Many dentists refuse to give quotes over the phone and some even resort to high-pressure sales tactics and manipulation to drive up profits. This makes it even more difficult for people to receive dental care.
Dentists charge hundreds for each cleaning because they can. They know most people will pay the high cost because they are afraid to lose their smile. While that may benefit their pocketbook, it does nothing to improve oral health.
If you choose to have the tartar on your teeth removed by a dentist, you will be forced to pay hundreds to have the tartar removed from your smile. Paying a dentist this amount of money to remove the tartar buildup from your teeth is a mistake, and there are other options available that won’t drain your wallet.
Continue reading to learn how to remove tartar from teeth without a dentist!
How to Remove Tartar from Teeth without a Dentist
It is more important than ever to know how to remove tartar from teeth without a dentist. With the COVID-19 pandemic changing the climate of modern dentistry, people everywhere are looking for at-home solutions for dental problems such as tartar buildup.Â
Brighter Image Lab offers an amazing teeth cleaning system that allows clients the opportunity to clean and polish their teeth from the comfort of their home without a dentist. One of the most important parts of this revolutionary system is a unique detoxifying serum.
Brighter Image Lab’s Tartar Softening Detox Serum softens layers of bio-film, plaque and tartar, so you can remove them yourself. With this serum, you won’t need specialized scalers to start loosening and removing buildup, you won’t even need a dentist! All you’ll need is a set of Bilistic Cleaning Tools.



Our Bilistic Cleaning Tools are made of stainless steel and built to last. The set comes with a high-quality dental mirror, two-sided scaler, dual angle scaler, dental tweezers, tongue scraper and a compact carrying case that makes the tools as convenient as they are effective.
Now, you can remove tartar and other harmful buildup from your teeth without paying hundreds of dollars for an appointment or dealing with the hassle of modern-day dentistry.
The only thing more important than knowing how to remove tartar from teeth without a dentist is knowing how to prevent it from building up in the first place. Keep reading to learn how to prevent tartar buildup!
How to Prevent Tartar Buildup
Now that you know how to remove tartar from teeth without a dentist, it’s time to learn how to prevent it from building up to begin with.
Because a smooth surface collects less bacteria and accumulates less plaque, Micro surface polishing is one of the most underrated treatments to prevent tartar build up. Brighter Image Lab is the only company to offer a professional quality tooth polisher to the public.
Brighter Image Lab’s Bilistic Pro Tooth Polisher cleans hard to reach areas, kills 99.9% of odor-causing bacteria, removes buildup and freshens breath.
This revolutionary product is made out of stainless steel and has a power cord with variable speed adjustment to ensure a consistent polish for every tooth. If you order the Bilistic Pro-Series Plus Tooth Polisher, you will receive a polisher, 3 interchangeable prophy heads and a 5-piece dental tool set.
Our disposable prophy angles and micro-bristle heads are essential to achieving the best clean possible and preventing tartar buildup. They are designed to flex and move to fit the contours of your teeth and provide superior cleansing of all surfaces. Our Micro-Bristles even reach between teeth and below the gum line.
Comfortable and cost-effective, our Bilistic Pro-Series Tooth Polisher brings affordability and excellence to manicuring your image. Combined with the benefits of our detox serum and cleaning tools, the Bilistic Pro-Series Tooth Polisher has the power to prevent dangerous tartar buildup and protect your smile.
Of everything we put into our Bilistic Cleaning System, our polisher has to be the piece we’re the proudest of. Bringing this tool out of the dentist office and into the hands of everyday people has created an unprecedented shift in personal dental hygiene, and you can be a part of that shift.
If you know how to prevent tartar buildup and you know how to remove tartar from teeth without a dentist, your smile will last a lifetime. Removing harmful buildup will strengthen your teeth and gums and brighten your smile, so don’t wait!
Conclusion
Seeing a dentist has never been something to look forward to, but now it’s just plain dangerous. With the COVID-19 pandemic raging across the country, we want our clients to have safe at-home options for maintaining their oral health.
Brighter Image Lab’s revolutionary products can help you remove tartar from your teeth and maintain a beautiful smile. All you need to remove tartar from your teeth is Brighter Image Lab’s tooth polisher, detox serum and cleaning tools.
With our products, you can scrape plaque away like a pro and polish your teeth to a high shine with the same power your dentist commands. Now that you know how to remove tartar from teeth without a dentist, you can maintain your smile and save hundreds on dental cleanings.
If you want to remove tartar from your smile today, click below and place your order!




