What Happened To Your Teeth? 6 Causes of Brown Spots on Teeth
There is a lot to be said about smiling…
Smiling is contagious and one of the best all natural medicines out there!
Did you know that just by smiling, you can reduce stress, enhance your immune system, and give your heart a healthy boost?
It’s TRUE!
That’s a whole lot to smile and be happy about…
However, if you have unsightly brown spots on your teeth, it can definitely hold you back from proudly showing and sharing your smile.
So, what causes these marks? You’re about to find out!
Better yet, you’ll also learn how you can instantly transform your teeth to get a white and shining smile!

What Causes Brown Spots on Teeth?
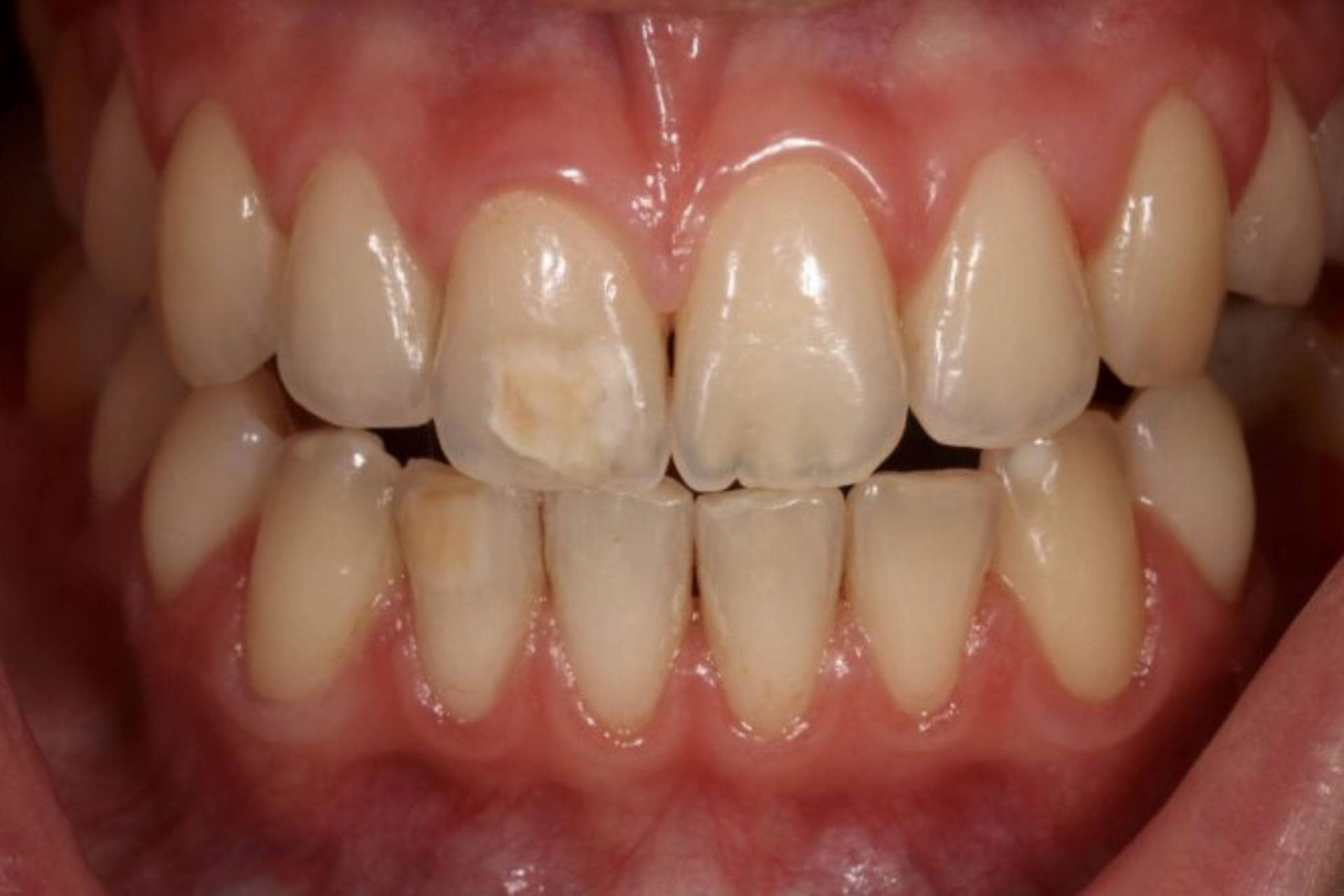
These teeth stains can range in color from yellowish brown all the way to a deep black-brown color and can appear in a variety of ways. Some people notice blotchy and irregular spots and patches, while other people’s brown markings look like discolored lines.
There are Several Causes of Brown Spots on Teeth:
- Food and Drinks: Dark colored foods contain a chemical called chromogens that is known for staining tooth enamel. Food containing artificial dyes and colors also have the power to leave stains on teeth.
- Tartar: When plaque becomes hardened on teeth due to poor dental hygiene, it turns into a permanent coating, called tartar, that can only be removed by a dentist.
- Tobacco Products: Particles from these products build up over repeated use and stain teeth. These stains and spots become harder to remove over time as a result of smoking, chewing, or dipping.
- Tooth Decay: Many people who don’t properly take care of their teeth develop decay around filling or cavities that leave dark spots.
- Poor Dental Hygiene: If you fail to regularly brush and floss your teeth it leads to the buildup of plaque and tartar, which discolors teeth.
- Dental Fluorosis: Caused by consuming to much fluoride in your youth.
While many conditions can lead to the appearance of brown spots on teeth, dental fluorosis really causes concern because it indicates that you have been overexposed to fluoride.
Let’s take a closer look at the alarming truth about dental fluorosis and how it can affect your teeth.
What is Fluorosis?
For decades dentists have informed us that our children need fluoride to shield their teeth from cavities. The fact is…
FLUORIDE IS COMPLETELY TOXIC.
And when consumed in high concentrations, fluoride causes dental fluorosis.
Fluorosis is a dental term that describes the developmental disturbance in regards to the enamel. It is not a disease, but rather a cosmetic condition. Overexposure to fluoride causes fluorosis, especially during the years when the teeth are developing, typically up to age 8
The effects of fluoride on tooth enamel include lower mineral content and an increase in porosity. Typically, the dentist measures the damage by examining the surfaces of the teeth when clean, dry and under good lighting.
If the dentist suspects dental fluorosis, they can further examine your teeth and gums. X-rays are beneficial to make sure the teeth do not have any other defects, like cavities.
Determining Fluorosis Severity
The visual effects of Fluorosis dictates the severity. Let’s take a look at the varying degrees of damage:
- Healthy, Normal Teeth: appear to have a smooth, glossy surface, that’s typically a pale white color.
- Moderate Fluorosis: Moderate cases will affect all enamel surfaces of the teeth. The surfaces will show wear as brown staining as the main feature. Teeth can also begin to erode and even crumble.
- Severe Fluorosis: In severe cases of dental fluorosis, the enamel can become discolored. Stains will develop over time, which is due to diffusion of exogenous icons, such as iron and copper, into the abnormally porous enamel. These stains appear brown and are widespread, making the teeth look corroded. This now affects all enamel surfaces. This may also affect the general form of the tooth.
Unfortunately, the visual effects of dental fluorosis (brown spots on teeth) and any type of stained teeth, can greatly affect one’s self-esteem… but luckily there is a way to instantly transform your smile!
Press On Veneers
- 4 Syringes of Bilistic Detox Serum
- 4 Syringes of Pure Bleaching Gel
- Upgraded Arch Cut Infusion Trays
- Set of Dental Teeth Cleaning Tools
- Bilistic Pro Series Polisher
Deluxe System
- 8 Syringes of Bilistic Detox Serum
- 8 Syringes of Pure Bleaching Gel
- Upgraded Arch Cut Infusion Trays
- Set of Dental Teeth Cleaning Tools
- Bilistic Pro Series Polisher
-
4 Syringes of Bilistic Detox Serum
-
4 Syringes of Pure Bleaching Gel
-
Upgraded Arch Cut Infusion Trays
-
Set of Dental Teeth Cleaning Tools
-
Bilistic Pro Series Polisher
IncrediBil Veneers
- 16 Syringes of Bilistic Detox Serum
- 16 Syringes of Pure Bleaching Gel
- Upgraded Arch Cut Infusion Trays
- Set of Dental Teeth Cleaning Tools
- Bilistic Pro Series Polisher
Transform Your Teeth TODAY!
Learn more about our three removable dental veneers: PressOn Veneers, BIL Veneers and IncrediBIL Veneers!



