Introduction
If you’re unhappy with the color of your smile, you’re not alone. Brighter, whiter teeth are the most desired cosmetic dental solution in the United States, but no-dentist teeth cleaning kits can be expensive or ineffective.
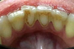
Some of life’s most enjoyable things can stain your teeth. Your morning cup of coffee or evening glass of wine can wreak havoc on your smile. Many Americans struggle to afford regular teeth cleanings to remove these pesky stains and maintain good oral health.
Luckily, there is an affordable at-home teeth cleaning kit that allows you to care for your smile without a dentist.
Want to learn more about this at-home teeth cleaning kit? Read on!
What is a Teeth Cleaning Kit?
Brighter Image Lab’s teeth cleaning kit is a full-proof cleaning system that allows clients to clean, bleach, and polish their teeth from home – without a dentist.
The Need for an At-Home Teeth Cleaning Kit
Brighter Image Lab has been providing lab services to dentists for over two decades. In 1997, we developed our Lab Direct process to deliver teeth cleaning and whitening systems directly to our clients, because many dentists up charge for these services.
At-home teeth cleaning kits are important because many Americans are born into poverty and lack access to the insurance, dental knowledge, and nutritional foods needed to maintain good oral health. Their diets consist of cheap junk food and sweet beverages because they don’t know, or can’t afford, any better for themselves.
The rich judge mouths that chew orange Cheetos and drink dark, sugary Cola. They cringe at the sight of smiles stained by a lifetime in poverty. Yet, they are the ones who offer employment opportunities. They have the power to say: No, you don’t deserve a job because you have a poor smile.
An affordable solution is needed because poor teeth bring about more wealth inequality. They hold people back from getting jobs and opportunities that could lift them out of poverty. People without jobs are poor, and poor people can’t afford dentistry, so the cycle never ends.
Teeth cleaning is the largest form of class-warfare in the country, and there’s no excuse for it. Instead of helping people who struggle with poor teeth, the dental industry alienates and marginalizes them. It’s for this exact reason that Brighter Image Lab meticulously designed and formulated an effective at-home teeth cleaning kit that is affordable to everyone.
“We believe that treatments like teeth bleaching aren’t just a luxury reserved only for the rich, and that monthly teeth polishing is undervalued as a preventative measure. I Believe that Dentists stand to profit too much by protecting the status quo and that’s why any real solution would have to come from outside the dental industry. When creating this system, we had to address every part of what is wrong with dental care, and fix it. We essentially had to challenge every dentist is the country for not coming to market with a comprehensive solution, before now.”

Bil Watson
Brighter Image Lab Director
We didn’t want to take on the responsibility of helping people clean their teeth, but after decades, it became clear that no one else was going to. So, we tackled the problem head on. We gave you a real choice.
Now, you don’t have to decide between paying hundreds for professional teeth cleaning and suffering the consequences of a poor smile. With the Bilistic Smile-Care System, you can clean, polish, and bleach your teeth from home – without a dentist! Click on the image below, order yours today and read on!
Brighter Image Lab’s At-Home Teeth Cleaning Kit
Brighter Image Lab was the first to offer Lab Direct teeth whitening kits that allow clients to take their own impressions without a dentist. What can we say? We’re trend-setters. We’ve also had over two decades to perfect our smile enhancement systems, so you can rest easy knowing you’re getting the best results possible.
You shouldn’t have to choose between paying the ever-rising costs of dental care and watching your teeth rot. With Brighter Image Lab, you don’t have to. Instead of going to the dentist and paying hundreds for a cleaning, you can clean and whiten their teeth from home at a much more affordable price.
When we started producing teeth cleaning kits, there were only a few competitors out there. Now, more teeth cleaning kits are popping up every day. None of these, however, are a suitable alternative to the Bilistic Smile-Care System.
No one has ever created a better Lab Direct teeth cleaning, bleaching or polishing system, ever. You will not find a teeth cleaning/whitening solution that gives you better results than the Bilistic Smile-Care System. It is the most effective at-home treatment process you can find.
Whether you’re brightening external stains or simply maintaining your oral health, our teeth cleaning and whitening system is the right option for you. It’s affordable, easy to use, effective, and can be done from the comfort of your own home.
Read on to learn what comes with it!

What Comes in a Teeth Cleaning Kit? Teeth Cleaning Tools!
The Bilistic Smile-Care Sysyem comes with everything you need to clean and polish your own teeth, including: custom-fit infusion trays, detox serum, a set of teeth cleaning tools, a Bilistic Pro Tooth Polisher and our Pure Bleach Gel.
The black Bilistic Infusion Trays are the first of their kind, and the most effective ever made! They are more comfortable and more durable than any dental trays available. These custom-fit infusion trays are made from the finest quality dental lab materials and hand-crafted to fit your teeth perfectly. This allows the treatment material to soak into the tooth without being compromised. Each tray is meticulously hand-crafted for a perfect fit and comes with the best Detox Cleaning Serum available.

Our Detox Serum is a professional strength detoxification agent that works to clean the entire mouth. The serum strengthens your tooth and enamel, coats the pores of your teeth to reduce sensitivity and removes even the toughest calculus buildup. It also dissolves bio-film, plaque and tartar to provide direct, un-compromised access to the surface area of the tooth. This groundbreaking serum loosens harmful buildup, so you can effectively clean your teeth with our set of teeth cleaning tools – without a dentist!
Bilistic Cleaning Tools are perfect for removing harmful buildup. These stainless-steel instruments are professional-grade and affordable, so you don’t have to sacrifice quality to stay under budget. With this set of teeth cleaning tools, you’ll be able to remove softened buildup with ease and save hundreds of dollars on your dental care. You can also save money by polishing your teeth from home with the Bilistic Pro Tooth Polisher!
With the Bilistic Pro Polsher, you can say goodbye to unsightly stains. After just one use, you’ll notice a difference in the color and shine of your smile. Regular polishing prevents cavities, stops tooth loss, boosts your overall health and brightens your smile. You can also brighten your smile with our Pure Bleach Gel.
Our Pure Bleaching Gels are specifically engineered for premium performance, going past the surface of the tooth to the pulp. They’re fast and effective (up to 7 shades whiter in 1 day). Scientifically designed to deliver exceptional results, our proven gel formula has helped over 300,000 clients achieve the best smile possible.
Every part of our Bilistic Smile-Care System is designed to ensure you get the best results possible, every time. You can clean and brighten your teeth for a fraction of the cost – without a dentist.

Teeth Cleaning Kit Vs. A Dentist
Dental labs like us supply custom-fitted dental trays and bleaching gel to many top cosmetic dentists. So, when you order from us, you receive the same quality products dentists use in-office.
Professional teeth cleaning and whitening treatments are expensive, require a dental visit and often come with severe tooth sensitivity.
With the Bilistic Smile-Care System, anyone can clean and brighten their smile from home without pesky complications – even without a dentist!
Brighter Image Lab’s teeth cleaning kit is cheaper than the cost of an average new patient cleaning and comes with enough serum for 16 sessions! So, stop paying a dentist to be your middle man. Avoid that high teeth cleaning cost! Order directly from us – Lab Direct and transform your teeth from the comfort and care of your own home.

Brighter Image Lab Teeth Cleaning Kit Reviews
Customer reviews are a great resource when making any purchase. Many of our clients feel obligated to leave reviews of our products online.
Here are a few Amazon customer reviews to consider:
“I bought one this week and it works great. Better than all the rest. That’s all I have to say.”
“Polisher was shipped same day as order and arrived very quickly! After using the polisher for about a week I was able to see a noticeable difference. The syringe that comes with a polisher is some type of magic serum that works wonders and doesn’t leave that gritty feeling as other polisher paste does. All in all, I am very pleased and haven’t had any issues with it not working!”
“I’m a smoker, coffee and wine drinker, so you can imagine how my teeth may be stained. So I purchased this and got it within 3 days, just showed up. I read the instructions and after a little trial and error the results are amazing. Best money I’ve spent in a long time. Very pleased with this.”
“I actually bought this directly from the manufacturer. It is amazing. I drink black iced tea all day every day, and occasionally cranberry juice, or a cigar at a whiskey tasting. People ask me if I have false teeth because they’re so white!”
“The dental polisher is exactly like what a hygienist uses. It is electric and does well at polishing your teeth to remove stains. I would recommend to anyone who knows how to use one of these teeth cleaning tools.”
As you can see, many people are satisfied with our Bilistic Smile-Care System. When they order from us, they receive the highest-quality products available.
Whether you’re brightening your smile or simply keeping it clean, our Smile-Care System is the right option for you. Click the grafic below and place your order today!
Conclusion
If you’re dissatisfied with the look of your smile, you’re not alone. Many people have stains or discoloration that makes them unhappy with their smile. Unfortunately, many of these people lack access to affordable solutions.
Luckily, Brighter Image Lab offers an affordable at-home teeth cleaning kit that can brighten your smile without a dentist! Our Bilistic Smile-Care System brightens stains and helps maintain your oral health.
You shouldn’t be forced to choose between paying for expensive dental treatments and being unhappy with your smile. At Brighter Image Lab, you don’t have to choose.
Instead of going to the dentist and paying hundreds for a cleaning, you can clean and whiten their teeth from home—and at a much more affordable price.
Interested in our teeth cleaning kit? Click below and place your order today!
Press On Veneers
- 4 Syringes of Bilistic Detox Serum
- 4 Syringes of Pure Bleaching Gel
- Upgraded Arch Cut Infusion Trays
- Set of Dental Teeth Cleaning Tools
- Bilistic Pro Series Polisher
Deluxe System
- 8 Syringes of Bilistic Detox Serum
- 8 Syringes of Pure Bleaching Gel
- Upgraded Arch Cut Infusion Trays
- Set of Dental Teeth Cleaning Tools
- Bilistic Pro Series Polisher
-
4 Syringes of Bilistic Detox Serum
-
4 Syringes of Pure Bleaching Gel
-
Upgraded Arch Cut Infusion Trays
-
Set of Dental Teeth Cleaning Tools
-
Bilistic Pro Series Polisher
IncrediBil Veneers
- 16 Syringes of Bilistic Detox Serum
- 16 Syringes of Pure Bleaching Gel
- Upgraded Arch Cut Infusion Trays
- Set of Dental Teeth Cleaning Tools
- Bilistic Pro Series Polisher





