Removable Veneers – A Smile Solution With 3 Options

Some people dread these events rather than anticipate them because of a challenged smile. Without removable veneers, a bad smile leaves you uncomfortable in social settings where you have to hide your smile.
Snap On Veneers

What Are Snap On Veneers? Snap on veneers are also called removable veneers or clip on veneers. When created correctly, they click into place and stay in solidly even when eating. They are known for being a more affordable cosmetic option. Getting them is also a reversible process so you can choose other options later […]
Instasmile Refund – Get Your Money Back

How to get a Instasmile refund! If you’re on this webpage you’re mad you’re pissed because you got a dental veneer that sucked and you were told you weren’t eligible for a refund, guys I want to tell you I promise you nobody feels worse about it than I do. Besides you, it’s not my […]
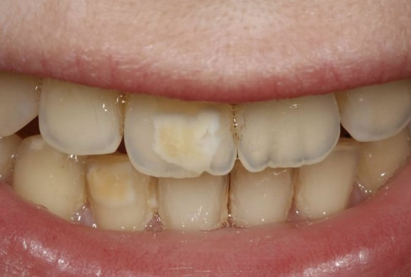
Brown Stains On Teeth – 3 Causes and The Best Solution

Brown stains on teeth (tooth discoloration) is an aesthetic problem that is linked to a variety of causes. These unsightly brown stains on teeth are often a source of embarrassment and can damage not only your teeth, but your self esteem as well The Absolute Number One Facial Feature is Your SMILE! While poor dental […]
Before and After Gum Contouring – 4 Reasons To Take Caution

Curious about the effects before and after gum contouring? Would it interest you to know that gum contouring is rarely necessary? Read on to learn more! Did you know that it takes LESS effort to smile than to frown? It’s a FACT! Frowning requires a shocking 50 muscles… while producing a smile only needs 13. […]
Veneers Before And After

Brighter Image Lab Veneers Before and After Brighter Image Lab provides a unique service that helps give so many people the smile of their dreams! We’ve changed people’s lives through our amazing dental veneers. These Brighter Image Lab veneers before and after pictures help you see how big the changes can be. These are just […]
Veneers Teeth Pros And Cons

Get Educated On Veneers Teeth Pros And Cons Are you interested in dental veneers? Changing the appearance of your smile is a big decision! Before you decide which dental option is right for you, you should learn about the different types of veneer teeth, pros and cons, and everything in between. Keep reading to find […]
Veneers Vs Lumineers

Understanding Veneers vs Lumineers In the world of cosmetic dentistry, there are many options. But which is right for you? The purpose of this post is to layout the differences between veneers, Lumineers, and Press-On Veneers. The main difference between veneers and Lumineers is the thickness. Typically, traditional veneers are thicker and require some enamel […]
Workplace Discrimination – Bad Teeth

People with bad teeth experience a unique type of workplace discrimination and can find themselves in a vicious cycle that is almost impossible to escape! Why Do Bad Teeth Cause Workplace Discrimination? Take a second and think about scary Halloween costumes or human-like monsters in horror movies. You will likely picture them with crooked, missing, […]
Are Veneers Worth It?

Are Veneers Worth It? Do veneers really work for people? Do veneers actually help with problems like chipped teeth, gaps, and alignment issues? Are veneers worth it? The answer to each of the questions above is yes. Read on to discover why veneers are worth it and how they have been life changing for so […]



