Virtual Visit How to Get Yours FREE

Introduction The COVID-19 pandemic has dramatically affected the way people receive healthcare. In the midst of social distancing and isolation, a new trend has emerged that makes it possible for people to consult a healthcare professional without ever leaving their home. This new trend is known as “telehealth.” One way people use telehealth to meet […]
Smile Solutions for Men From Brighter Image Lab

Introduction Men call our office every day asking if our dental veneers are a smile solution that will work for them. To them I say: “YES!” Dental veneers are a great option for men who want to enhance their appearance. Thousands of men across the world have trusted Brighter Image Lab’s dental veneers to transform […]
Porcelain Veneers – How to Avoid Paying $20,000 For Veneers

Introduction A smile is the number one facial feature that people notice. If you have a bad smile, it’s holding you back socially. When someone has nice shoes, nice clothes and a bad smile, they didn’t come from a family that helped them improve their smile. A large percentage of people have a nice smile […]
Uncensored Brighter Image Lab Review: The Best Smile Solution

Brighter Image Lab Review Many people struggle with an imperfect smile. As a result, they deal with low self-esteem and discrimination on a daily basis. This is wrong. Luckily, Brighter Image Lab is here to help. How do they do this? Through removable veneers. Their unique Lab Direct process gives clients the confidence of a […]
Press On Veneers: What They Are and How to Get Them

If you’re like many people, you may be unhappy with your smile. You may have missing teeth, broken teeth, misaligned teeth, crooked teeth, or stained teeth. Don’t worry – Press On Veneers can help! Press On Veneers is a cosmetic contrivance designed to cover your existing teeth and improve your smile. They are available from […]
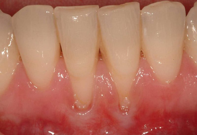
Receding Gum Line – 3 Startling Signs You May Need a Dentist

“A smile is the universal welcome.” – Max Eastman The saying goes that a smile is the prettiest thing you can wear. However, when you have problematic or unsightly gums or teeth, it can certainly hold you back from welcoming all of the beauty the universe has to offer. A top gum issue that impacts […]
PressOn Veneers Instantly Fix Your Broken Smile

How To Instantly Transform Your Smile (No Dentist Required!) Is it possible to change your smile with PressOn Veneers? Read on to find out! You can change your clothes. You can change your hair.. And you can change your style whenever you want. We all love to have choices and be able to decide what […]
Adorable 4 Minute New Removable Veneer Review

So everybody’s been asking me for the week update on my new smile. So the biggest question I usually get is how do you possibly eat with those in? Honestly, I can’t even feel them when I have them in. It’s not simple
Cheap Tijuana Dental Veneers or 3 Amazing Alternatives?

Tijuana Dental Veneers led to the creation of Press-On Veneers and saved many clients some money in the process. In 2008, the Great Recession forced businesses across the country to adapt or perish.
Who Do State Dental Boards Really Protect in These 2 Cases?

As with the teeth whitening debate, the Texas Medical Board claims their motivation is concern regarding patient safety. However, no evidence produced supports harm to any patient. The board rests soundly



